余沁霖 通讯员刘月萍
2026-01-22 21:08
近日,一场由“真健康穿刺手术机器人”开展的机器人引导经皮肺结节穿刺微波消融手术在北京理工大学附属医院(珠海市人民医院)成功开展,这是北京理工大学前沿交叉学域段星光教授团队科技成果转化的典型应用,也是珠海市首例机器人穿刺消融手术。手术仅用5分钟便精准完成高龄患者肺部病灶微创治疗,标志着珠海肺结节治疗迈入“AI导航+机器人精准操作”的智能化新阶段,更彰显了北理工医工融合成果的临床转化硬实力。
高龄高危患者遇难题,智能机器人“精准破局”
本次接受治疗的是一位82岁高龄患者,既往因右肺癌接受过肺部部分切除手术,此次又发现左上肺19*14mm混合性结节。经北京理工大学附属医院(珠海市人民医院)肺结节专病中心多学科专家会诊,考虑为早期肺癌。由于患者年龄大、既往有肺部手术史,传统外科手术风险较高。经与患者及家属充分沟通并取得同意后,医疗团队决定为其施行机器人引导下的经皮肺结节微波消融术。
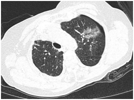
手术过程中,机器人一次性精准定位病灶,消融针完美抵达靶区,术后影像显示病灶被完全覆盖。术中患者仅出现少量气胸,生命体征全程平稳,达到预期治疗效果。
四大核心优势,重塑微创治疗新范式
相较于传统徒手穿刺消融,机器人穿刺消融在精准安全上实现双升级,通过实时导航与定位有效克服呼吸运动及组织移位影响,大幅提高穿刺准确性并降低误穿风险及并发症;同时显著降低辐射暴露,借助机器人辅助减少穿刺调整与CT扫描次数,从而降低患者与医护人员的辐射剂量;手术效率也得到提升,系统支持术前三维规划与术中快速精准定位,缩短手术时间;此外,机器人系统能减轻医师负担,由机械臂精准执行操作,缓解医生长时间手术的体力消耗与精神压力。
技术拆解:这款手术机器人强在哪?
北京理工大学(珠海)前沿交叉学域副主任段星光表示,这款手术机器人能攻克软组织穿刺手术中的核心技术难题,突破了呼吸运动监测与动态结节跟踪技术,使机器人能够实时感知并补偿因呼吸造成的靶点移动;通过AI自动分割实现快速三维重建与智能路径规划,将传统“盲穿”升级为可视化的精准操作。
北京理工大学附属医院(珠海市人民医院)呼吸与危重症医学科主任翁育清主任介绍,热消融技术是早期肺癌微创治疗的重要手段,机器人技术的加入更让这一治疗方式的安全性、精准性再上台阶。
据悉,作为北理工(珠海)前沿交叉学域医工融合的标杆成果,“真健康穿刺手术机器人”此前已荣获2025年度“机械工业科学技术奖”技术发明一等奖。
校方表示,此次珠海首例临床成功,是北理工(珠海)“以临床需求为导向、以技术创新为核心、以成果转化为目标”的生动实践。未来,北理工(珠海)将持续深化与附属医院(珠海市人民医院)等医疗机构的协同创新,推动更多智能医疗装备落地,让医工融合成果惠及更多患者,为大湾区医疗高质量发展贡献北理工智慧与力量。
近日,一场由“真健康穿刺手术机器人”开展的机器人引导经皮肺结节穿刺微波消融手术在北京理工大学附属医院(珠海市人民医院)成功开展,这是北京理工大学前沿交叉学域段星光教授团队科技成果转化的典型应用,也是珠海市首例机器人穿刺消融手术。手术仅用5分钟便精准完成高龄患者肺部病灶微创治疗,标志着珠海肺结节治疗迈入“AI导航+机器人精准操作”的智能化新阶段,更彰显了北理工医工融合成果的临床转化硬实力。
高龄高危患者遇难题,智能机器人“精准破局”
本次接受治疗的是一位82岁高龄患者,既往因右肺癌接受过肺部部分切除手术,此次又发现左上肺19*14mm混合性结节。经北京理工大学附属医院(珠海市人民医院)肺结节专病中心多学科专家会诊,考虑为早期肺癌。由于患者年龄大、既往有肺部手术史,传统外科手术风险较高。经与患者及家属充分沟通并取得同意后,医疗团队决定为其施行机器人引导下的经皮肺结节微波消融术。
手术过程中,机器人一次性精准定位病灶,消融针完美抵达靶区,术后影像显示病灶被完全覆盖。术中患者仅出现少量气胸,生命体征全程平稳,达到预期治疗效果。
四大核心优势,重塑微创治疗新范式
相较于传统徒手穿刺消融,机器人穿刺消融在精准安全上实现双升级,通过实时导航与定位有效克服呼吸运动及组织移位影响,大幅提高穿刺准确性并降低误穿风险及并发症;同时显著降低辐射暴露,借助机器人辅助减少穿刺调整与CT扫描次数,从而降低患者与医护人员的辐射剂量;手术效率也得到提升,系统支持术前三维规划与术中快速精准定位,缩短手术时间;此外,机器人系统能减轻医师负担,由机械臂精准执行操作,缓解医生长时间手术的体力消耗与精神压力。
技术拆解:这款手术机器人强在哪?
北京理工大学(珠海)前沿交叉学域副主任段星光表示,这款手术机器人能攻克软组织穿刺手术中的核心技术难题,突破了呼吸运动监测与动态结节跟踪技术,使机器人能够实时感知并补偿因呼吸造成的靶点移动;通过AI自动分割实现快速三维重建与智能路径规划,将传统“盲穿”升级为可视化的精准操作。
北京理工大学附属医院(珠海市人民医院)呼吸与危重症医学科主任翁育清主任介绍,热消融技术是早期肺癌微创治疗的重要手段,机器人技术的加入更让这一治疗方式的安全性、精准性再上台阶。
据悉,作为北理工(珠海)前沿交叉学域医工融合的标杆成果,“真健康穿刺手术机器人”此前已荣获2025年度“机械工业科学技术奖”技术发明一等奖。
校方表示,此次珠海首例临床成功,是北理工(珠海)“以临床需求为导向、以技术创新为核心、以成果转化为目标”的生动实践。未来,北理工(珠海)将持续深化与附属医院(珠海市人民医院)等医疗机构的协同创新,推动更多智能医疗装备落地,让医工融合成果惠及更多患者,为大湾区医疗高质量发展贡献北理工智慧与力量。
-我已经到底线啦-


暂时没有评论